感谢丁香园社区骨科版版主、丁香达人 @骨外狂徒张三分享的病例:
患者情况:男,69 岁。以「右手外伤后皮肤臃肿伴并指畸形 1 年」为主诉来院治疗。
简要病史:1 年前因「右手绞轧性离断伴毁损」,在我院行「游离股前外皮瓣修复创面术」,现患者右手功能尚可,为求分指+皮瓣整形来院。
体格检查:

掌侧面观

背侧面观

拇指内收功能
▲上下滑动查看更多
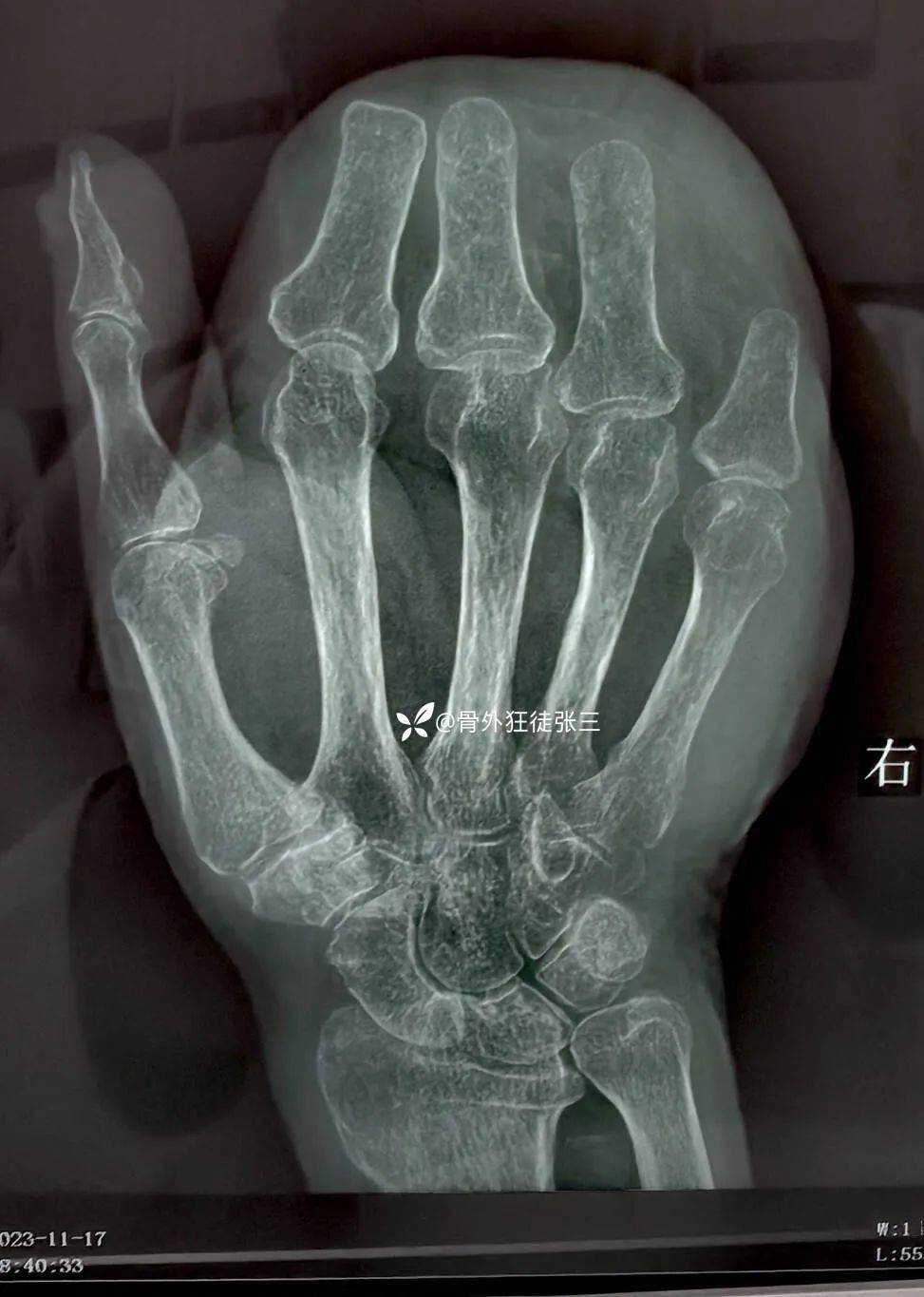
影像学如下:

目前患者拇对掌功能尚可,能捏持物体。针对上述情况,你认为皮瓣上分指的可行性有多少?分几个指?整形要采用何种方式?抽脂整形?还是传统切开整形?
不少站友在评论区分享了自己的治疗意见,评论区讨论激烈,欢迎来丁香园社区看看并发表你的观点。
文内素材及图片来源:丁香园社区骨科版版主、丁香达人 @骨外狂徒张三
👇 点击【阅读原文】查看完整病例和站友精彩分析