2022年10月,北京中医药大学东方医院作为第四批国家区域医疗中心项目正式落地秦皇岛。项目获批后,北京中医药大学东方医院分批派驻肿瘤科、脑病科、康复科、消化科、呼吸科、血管外科、胸外科、儿科、风湿科等重点科室专家进驻北京中医药大学东方医院秦皇岛医院(秦皇岛市中医医院),开展门诊出诊、查房、专业指导、学科发展探讨、规划制定等工作。
目前,北京中医药大学东方医院已经整体托管秦皇岛市中医医院,负责医院运营管理,同时还有北京专家定期来院出诊、查房、手术,全力推动医院医、教、研水平再上一个新的台阶。秦皇岛市中医医院目前实现24小时常规开展全脑血管造影术、急性脑梗死取栓血管再通术、颅内外血管狭窄支架置入术、脑动脉瘤介入栓塞术等手术,整体医疗水平大幅提升,东方医院携手东方医院秦皇岛医院共同为当地及周边群众提供了“国家队”的高水平诊疗服务。
01
69岁的张先生患高血压病多年,近一年来反复头晕头痛,经检查发现是由于脑血管重度狭窄导致了脑供血不足,医生建议进一步行神经介入手术治疗。由于手术风险较高,家人想带他去北京就诊,但苦于离家较远,就医、照顾不便,所以一直犹豫未决。
张先生听说第四批国家区域医疗中心项目已经正式落地秦皇岛,北京中医药大学东方医院将长期派驻专家到秦皇岛市中医医院出诊、手术,于是便挂了脑血管病门诊主任医师刘佳霖的专家号。经过一番深入沟通后,张先生在本地接受了手术治疗,过程十分顺利,术后头晕头痛的症状完全消失。


02
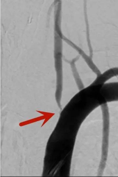
70岁的王先生,因反复头晕半月余,来到北京中医医药大学东方医院秦皇岛医院(秦皇岛市中医医院)就诊,经脑血管造影检查,确诊为“左侧椎动脉重度狭窄”,且狭窄程度大于90%。

术前

术后
得知情况后王先生很纠结,一度想去北京大医院治疗,但在得知这里有北京专家常驻医院开展门诊、手术等诊疗工作后,随即改变了主意,决定在秦皇岛接受手术。
北京中医药大学东方医院脑血管病专家刘佳霖带领脑外科团队为王先生成功实施了椎动脉支架植入术,手术顺利,术后椎动脉狭窄解除,头晕症状完全改善。

03
72岁的王阿姨在医院体检时发现,大脑后动脉P1段存在颅内动脉瘤。考虑到患者病情及家庭经济条件,北京中医药大学东方医院秦皇岛医院副院长刘佳霖决定为王阿姨行经桡动脉穿刺全脑血管造影术。术后患者感觉一切良好,非常感激地与医护人员合影留念,并在家属陪同下步行返回病房。

通过这次造影,王阿姨被诊断为左侧眼动脉段多发动脉瘤、右侧颈内动脉海绵窦段动脉瘤、右侧大脑后动脉动脉瘤。而并非是术前MRA提示的一枚动脉瘤,这也为下一步制定诊疗方案提供了依据。


(多发动脉瘤3D后处理图像)
04
李先生之前在辽宁大连打工,最近左侧身体反复出现麻木无力。他曾到其他医院就医,医生判断为脑梗,采取输液方式治疗,效果不明显。
李先生慕名来到北京中医药大学东方医院秦皇岛医院(秦皇岛市中医医院)就医。脑外科团队在副院长刘佳霖的带领下,应用脑血管造影技术,精确查找到了致病原因:李先生右侧大脑中动脉重度狭窄,狭窄程度大于90%,这是导致缺血性脑卒中的重要原因之一。在入院第四天,医院为其实施了颅内动脉球囊扩张术,术后效果良好,重度狭窄解除,症状完全改善。
“通过北京中医药大学东方医院合作,秦皇岛市中医医院引进了先进的颅内动脉球囊扩张术,专门治疗颅内动脉狭窄导致的缺血性脑卒中。李先生的病情很适合采用这项手术。”脑外科副主任曹雨露介绍。

图文/曹雨露、李秀春
审核/张勉之、王红勇、曹建春、刘佳霖、王嘉麟、马建岭